Why Choose Clear Aligners?
- DiscreetEnjoy teeth straightening the virtually invisible way with clear aligners - no-one will be able to tell you are having dental treatment!
- ComfortableClear aligners are custom-designed with your comfort in mind, making it easy to wear them for 22 hours a day on your way to a straight smile.
- RemovableThe clear aligner system puts no restrictions on your diet or lifestyle. Take your aligners out to eat, drink and brush your teeth as normal.
- VersatileSuccessfully correct a range of mild to moderate orthodontic issues, including misalignment, gaps and bite issues.
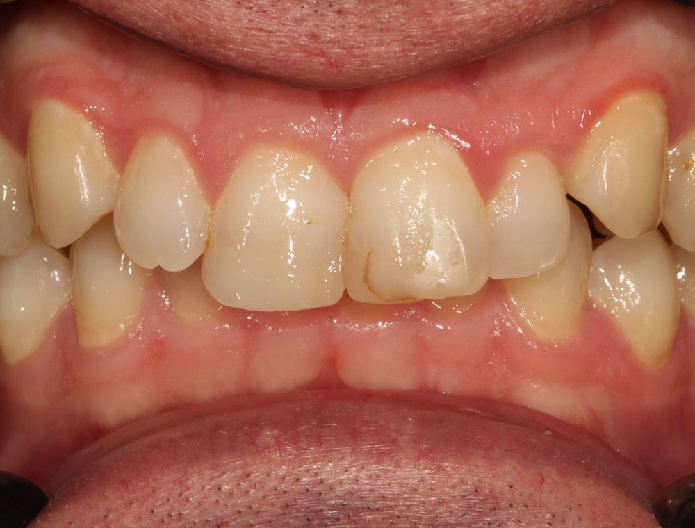
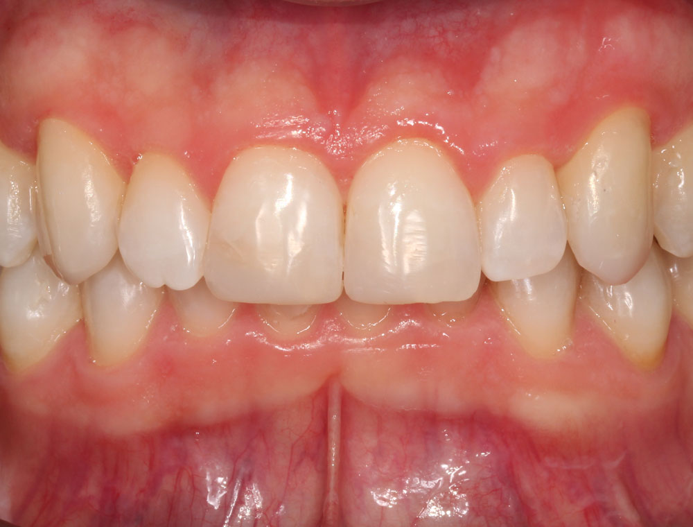
Our Clear Aligner Success Stories
A straight smile can do wonders for your confidence and self-esteem – and even help with your oral health too! Clear aligner therapy at Hills Road Dental has given so many patients a brand-new smile – could you be next?
Discover the benefits of innovative clear aligners and book your consultation for clear aligners in Cambridge today!
Get in touch 
What are Clear Aligners?
Clear aligners are a minimally invasive and comfortable orthodontic treatment, offering a virtually invisible way to achieve a straighter smile. They are custom-made for each patient, using gradual forces to gently move your teeth into more desirable positions.
All you need to do during treatment is wear your clear braces for 22 hours a day, removing only to eat, drink, and brush your teeth. With no restrictions on diet and benefits for your oral health, it’s not hard to see why clear aligners are a very popular cosmetic dental choice.
Book an appointment 
Your Guide to Clear Aligner Treatment
- Visit the practice for your consultation with our cosmetic dentist.
- We’ll use advanced technology to plan your treatment.
- We’ll show you how to use your custom aligners for best results.
- When treatment is complete, we’ll give you a retainer and leave you to show off your new smile!
 
Why Visit Hills Road Dental for Clear Aligners?
- Cambridge-based premium private dental practice
- Decades of high-quality dental treatment and care
- Consistent care from our dedicated patient-focused team
- Calm, welcoming and relaxed practice environment
 
Frequently Asked Questions
- Clear aligners are transparent mouth trays that are custom-made to fit accurately and comfortably over your teeth. They apply consistent gentle pressure when worn, gradually moving your teeth into straighter positions as laid out in your treatment plan. In most cases, you wear a different aligner in the treatment series every two weeks. 
When Visiting
We are located at Hills Road Dental Practice259 Hills Road, Cambridge, Cambridgeshire, CB2 8RPWe are at the Addenbrookes end of Hills Road, opposite The Perse School. Our entrance is located in Glebe Road. The practice is easily accessible on the ground floor with a level entrance.
Visiting by car?
Ample, free parking is available onsite at the practice
Travelling by bike?
Our dedicated racks keep your bike secure
Catching the bus?
There is a bus stop opposite the practice
Travelling by train?
We are a 10-minute walk from Cambridge Train Station
Get directions 

